外墙铝单板厂家按照客户要求定制(体重胖了四斤,体型没多大变化)
发布时间:2023-04-15 14:42:47 人气:36 来源:铝单板厂家
扬子晚报网4月13日讯(通讯员 韩艺文 陆雪川 王树文 记者 朱鼎兆)“祁主任,手术后我感觉轻松多了,终于能吃点东西了”,4月12日,淮安市第一人民医院肝胆胰外科例行查房时,来自宿迁的张先生紧紧握住祁付珍主任的双手连连感谢说。
今年 33岁的张先生有乙肝病史十余年,平素未规律随访治疗近2月来张先生自觉右上腹胀痛,难以进食,坐卧难安;遂在当地B超检查发现肝巨大占位经多方打听得知淮安一院祁付珍主任在肝癌规范化诊疗方面见解独到本着对祁主任的信任,张先生特意从外地来到祁主任门诊。
经检查后发现患者肝脏存在直径约22cm巨大肿瘤肿瘤巨大临床罕见,甚至在肋骨下便可触及巨大肿瘤,肿瘤张力高,随时有破裂风险,而且张先生腹痛难忍、饮食睡眠困难,严重时甚至影响呼吸
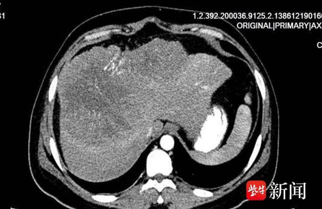
影像检查显示张先生肝脏存在直径约22cm巨大肿瘤 住院后,考虑到张先生体内肿瘤巨大,随时有破裂风险,充分考虑各种因素后,祁付珍主任组织多学科团队反复讨论推演,制定了符合患者的最佳手术方案和预案,明确了手术方式和术中、术后应急预案,保障患者得到规范、个体化的诊疗。
手术后,医生从张先生体内取出重4.5斤肿瘤 近日,在麻醉科范薇主任支持下,手术室护理团队的通力合作下实施手术术中发现巨大肿瘤累及左右肝,膈顶部见大量网膜包裹肿瘤,分离网膜后可见肿瘤表面直径1cm破裂口。
经术中精细操作,切除3 4 5 8段肝脏,在完整切除肿瘤同时尽可能保证剩余肝体积手术耗时不到3小时,术中出血400ml,肿瘤标本重达2.25kg手术后,张先生生命体征平稳,伤口恢复良好,术后各项检查也符合预期效果,术后第1天即可床边活动,经口进食,目前恢复良好。
张先生目前恢复良好校对 徐珩
相关新闻
- 铝单板厂家联系电话号码高效便捷种类齐全(红米多少个系列) 2023-05-03
- 南昌铝单板厂家电话按照客户要求定制(realme 真我gt neo 5g怎么样) 2023-05-03
- 木纹铝单板厂家直销专业售后品质保证(红米快充多少钱一个) 2023-05-03
- 铝单板厂家排名及价格全国发货及时供应(redmi k60pro) 2023-05-03
- 铝单板厂家哪家好全国发货及时供应(红米note128g多少钱) 2023-05-03
- 铝单板厂家联系电话号码高效便捷种类齐全(红米多少个系列) 2023-05-03
- 承德铝单板厂家佛是金装人是衣装(波兰吞并切欣) 2023-05-02
- 张家口铝单板厂家哪家好塞翁失马焉知非福(英国老师几点上班) 2023-05-02
- 保定铝单板批发厂家养兵千日用兵一时(西安有几家世界500强企业) 2023-05-02
- 石家庄铝单板批发厂家一言既出驷马难追(中国在2030年的五大超级都市圈) 2023-05-02


客服