幕墙铝单板厂家定制价格优惠现货促销(孩子反复发烧会有什么影响)
发布时间:2023-04-10 12:48:27 人气:23 来源:铝单板厂家
近日,广东深圳女童晓月(化名)反复高烧其父母多次用75%酒精擦拭和湿敷导致孩子急性酒精中毒出现了严重代谢性酸中毒大脑功能受损被送入重症监护室(ICU)引发关注女童反复高烧父母用75%酒精擦拭和湿敷这天晚上,快5岁的晓月(化名)反复高烧,吃了退烧药也不见效。
夫妻俩想起了老家流传的“偏方”:酒精擦身他们翻出家中的75%酒精喷雾,将棉片喷湿后,敷在孩子的额头、腋窝、肚子上,再用酒精棉片擦拭身体和四肢孩子体温一升高,他们就用酒精湿敷和擦身没想到,忙活了一天,晓月。
高烧未退,还吐了四五次她的脸色苍白,尿少,整个人也蔫蔫的夫妻俩赶紧将孩子送往深圳儿童医院晓月在补液治疗时,渐渐出现嗜睡、意识模糊、双眼上翻凝视等症状,最后竟然陷入昏迷!紧急抢救后,她被送入重症监护室(PICU)。
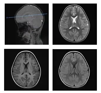
检查发现,她急性酒精中毒,出现了严重代谢性酸中毒、大脑功能受损
△检查发现,患儿出现了颅内多发病变经过治疗两天后,晓月醒了一周后,她被转入神经内科继续康复治疗近日复查时,晓月除了语速稍慢,没有其他问题“想不到,酒精擦身退烧,危害这么大!”其实,这还算幸运的用这种酒精擦身退烧,
还闹出过人命:
为什么不建议用酒精擦身降温?医生表示酒精挥发确实是能带走热量但是没挥发的部分会进入到孩子的皮肤蓄积后可能会导致急性酒精中毒严重的会出现呼吸衰竭甚至死亡“孩子和成年人相比皮肤较为薄嫩,而且孩子当时处于发热状态,代谢较为旺盛,毛细血管和皮肤毛孔都是扩张状态,通过大面积高浓度的酒精湿敷皮肤后,是可以通过孩子皮肤吸收入血的。
”医生提醒:这4种退烧法也千万别试!深圳儿童医院急诊科医生表示孩子发烧时捂汗、退烧针、药物灌肠、捏痧刮痧等也是不可取的方式▼01 捂汗小时候只要发烧,老人都会出主意,“捂一捂,出一出汗就好了”其实,这经不起推敲。
捂着会导致热量散不出去,反而容易使体温升高就算捂出了汗,捂汗退烧的功效也只是暂时的,孩子丢失大量的汗液,反倒可能造成脱水,甚至引起捂热综合征,严重可导致死亡02 退烧针常用的退烧针,就是柴胡注射液和注射用赖氨匹林。
但几年前,这两者就被药监局“点名”了一些孩子注射赖氨匹林后,出现了惊厥、呕吐、昏迷等副作用,严重时可直接导致死亡早在2018年,国家食品药品监督管理局就曾发布公告:3个月以下幼儿,禁用注射用赖氨匹林,16岁以下儿童慎用。
而注射柴胡之后,容易引起过敏等副作用03 药物灌肠“快速退烧,无创伤无痛苦!”一些无良小诊所,会推荐药物灌肠灌肠过程中,药物剂量把控不好,会严重损伤孩子的肝肾操作不当,还可能造成肠穿孔,甚至导致更严重的后果。
04 捏痧/刮痧宝宝皮肤娇嫩,用这种方法很容易造成软组织挫伤而且对于不掌握医学常识的家长来说,贸然进行所谓的“捏痧”,只会对娃的身体造成伤害孩子发烧如何正确降温?科学的退烧方法其实很简单,就这3招:●科学护理
38.5℃(有热性惊厥史的孩子为38℃),是一个可以给孩子喝退烧药的参考值但是,如果孩子精神状态好,就算体温到38.5℃了,也不是必须用药可以让孩子多喝水,通过自然地出汗、排尿带走身体的热量也可以提高室内温度后,适当减少孩子的衣物,帮助孩子的身体散热。
●口服退烧药如果烧到了38.5℃,也没啥精神,那就得喝退烧药了(3个月以下宝宝发烧,不建议自行用退烧药,应及时就医)儿童口服退烧药有两种:泰诺林(对乙酰氨基酚),美林(布洛芬)3个月以上的宝宝,推荐选用泰诺林;6个月以上,美林/泰诺林,选一种用就可以了。
但是,一定要记住:退烧药不推荐混着吃,也不要加量吃首先要注意剂量,建议遵医嘱或按照说明书要求使用;其次,要注意用药间隔同一退烧药应间隔4~6小时,一天不能超过4次 ●退热栓如果孩子对口服退烧药不耐受,也可以考虑选择使用退热栓。
常见的栓剂有对乙酰氨基酚栓剂、小儿布洛芬栓不过,要注意的是,要避免口服剂和肛栓剂同时使用保险起见,这个操作最好在医生指导下进行来源:广州日报、深圳儿童医院、广东卫生信息版权归作者所有,如有侵权请及时联系,我们将立即删除,谢谢。
相关新闻
- 铝单板厂家联系电话号码高效便捷种类齐全(红米多少个系列) 2023-05-03
- 南昌铝单板厂家电话按照客户要求定制(realme 真我gt neo 5g怎么样) 2023-05-03
- 木纹铝单板厂家直销专业售后品质保证(红米快充多少钱一个) 2023-05-03
- 铝单板厂家排名及价格全国发货及时供应(redmi k60pro) 2023-05-03
- 铝单板厂家哪家好全国发货及时供应(红米note128g多少钱) 2023-05-03
- 铝单板厂家联系电话号码高效便捷种类齐全(红米多少个系列) 2023-05-03
- 承德铝单板厂家佛是金装人是衣装(波兰吞并切欣) 2023-05-02
- 张家口铝单板厂家哪家好塞翁失马焉知非福(英国老师几点上班) 2023-05-02
- 保定铝单板批发厂家养兵千日用兵一时(西安有几家世界500强企业) 2023-05-02
- 石家庄铝单板批发厂家一言既出驷马难追(中国在2030年的五大超级都市圈) 2023-05-02


客服