 
    佛山铝单板厂家联系电话专业售后品质保证(肺癌咳嗽胸闷疼吃什么药好)
发布时间:2023-04-10 11:15:10 人气:31 来源:铝单板厂家
开年以来各种因肺癌离世的演艺明星刷屏老戏骨“刘三姐”扮演者黄婉秋新生代男偶像蒋智豪被查出肺癌晚期……2022年全国癌症报告显示中国有406.4万人新患癌症其中有接近83万人新患肺癌占新确诊癌症人数20.4%
肺癌的发病率和死亡率均排首位
今天,我们来“解锁”一种不太常见的肺部肿瘤——气管肿瘤它因咳嗽、气短极容易被误认为肺部感染或是哮喘如何有效治疗?浙江大学医学院附属第一医院肺移植及普胸外科专家团队用精湛的医术在挑战中“亮剑”
01胸闷、气喘、咳嗽,37岁川妹子竟是气管肿瘤最近几天,37岁的川妹子媛媛(化名)终于在时隔半年以后再次感受到了顺畅的呼吸多年前,她跟随丈夫到宁波打工,在她的人生规划里,还有许多任务等待完成:赚钱寄给老家的双亲,在村里盖一栋大房子,抚养孩子好好学习,别再和她一样外出打工……。
媛媛从来没想到的是,在实现这些梦想之前,自己差点被长在气管上的肿瘤给“扼死”2022年10月底的某天夜里,媛媛开始出现咳嗽咳痰,伴活动后胸闷气喘这个“哮喘”严重影响了她的生活,当地医院按“过敏性哮喘”治疗后症状越来越严重。
她走不了几步,就开始喘气、呼吸困难,喉咙的位置还会发出令人心惊的喉鸣音,就像鼓风机的声音心急如焚的媛媛被丈夫辗转带来浙大一院就诊,肺移植及普胸外科主任韩威力主任医师一听到她巨大的喘鸣音,就知道她根本不是简简单单的哮。
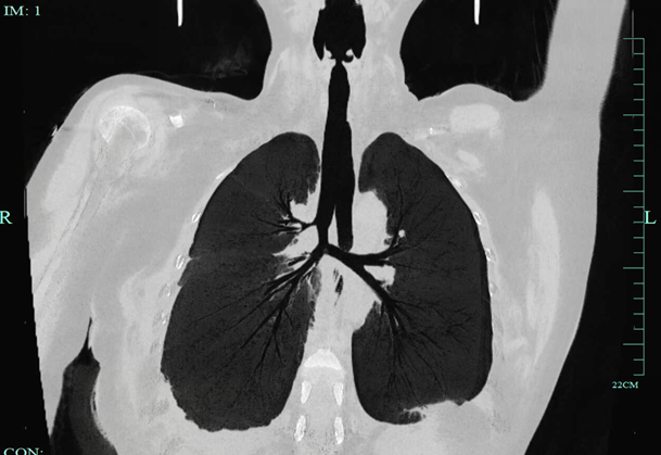
喘!胸部CT检查发现,一个肿瘤长在了她的气管隆突(又名气管隆嵴,是位于气管分叉处的内面,向上凸起的纵嵴)及左主支气管壁位置气管镜进一步发现,她的左主支气管大部分被肿瘤堵住了,肿瘤还长到了气管支气管的三岔口“隆突”的位置,严重影响两侧肺的通气。
这就是媛媛咳嗽咳痰、气喘吁吁、呼吸不畅的真正原因后面的活检病理结果为“非小细胞低分化癌”(恶性),如果不进行手术切除,任由肿瘤生长,她随时可能因窒息导致死亡02攻克气管重建难关,患者终于能正常呼吸韩威力主任向媛媛及家属介绍,人体的气管约9~11厘米,气管肿瘤是呼吸系统少见的病症,约占呼吸系统肿瘤的1%。
别看它发病率低,但恶性肿瘤占比60~83%媛媛气管上的肿瘤已经伴有隆突下淋巴结的转移,经多学科讨论(MDT)后,决定先进行新辅助化疗联合免疫治疗后再评估手术
经过三个周期的新辅助化疗联合免疫治疗,她气管上的肿瘤较之前明显缩小,韩威力专家团队经过术前仔细评估后,决定为媛媛实行气管隆突重建手术一直以来,气管隆突手术是普胸外科难度最高的手术之一手术过程中气管隆突切断后,为保证患者正常供氧,需要在手术台上重新进行气管插管,配合不顺利会造成病人严重缺氧;病灶位置特殊,切除后气管与支气管剩余部分的口径大小不同,会造成吻合口不匹配;如果仅仅是将切断后的支气管与气管两端进行“套叠”,不仅有可能造成吻合部位的瘢痕狭窄、阻碍通气,而且会因拉扯增加对接口的张力,存在撕裂的隐患;新辅助化疗联合免疫治疗后的患者,更是病灶边界不清,分离困难;术中麻醉的配合也相当重要……。
困难和问题就是用来克服和解决的!手术虽然对肺移植及普胸外科专家团队提出极大的考验,但主刀医生韩威力主任有着丰富的肺移植及局部晚期肺部肿瘤手术经验,对于气管、支气管的吻合非常熟练一套行云流水的手术下来,媛媛的肿瘤被完整切除并实现气道重建,手术时间仅3小时左右。
术后第二天,媛媛就开始下床活动,术后提示两侧吻合口均通畅,保持呼吸气道的通畅和良好的肺功能,术后7天她就顺利出院了后续媛媛还要进一步接受放化疗治疗
术后气管重建03出现咳嗽、气急超过两周无缓解,建议做颈胸部CT
早发现、早诊断、早治疗对提高癌症5年生存率非常重要气管肿瘤作为肺部肿瘤的一种,早期症状不明显,常表现为咳嗽、咳痰、喘息及胸闷等非特异性呼吸道症状,不容易引起患者的重视当肿瘤逐渐堵塞气管腔时,会出现喘息症状,因此经常被误诊为支气管哮喘。
当肿瘤占位效应使气管管腔狭窄达50%~75%时,患者才会出现比较明显的胸闷、呼吸困难症状在肺移植及普胸外科,许多患者就诊时,肿瘤往往广泛侵犯黏膜下组织,难以达到根治性切除专家建议,如果出现咳嗽、气喘、胸闷等现象两周以上无缓解情况,建议到医院做一个颈胸部CT或者支气管镜检查。
若是35岁以上平时长期饮酒或抽烟的人,即使没有任何症状,也建议一年做一次相关检查,以防万一
浙大一院肺移植及普胸外科是浙江省终末期肺病专业诊疗中心目前年均完成肺移植手术50例以上,围手术期生存率在90%以上,年均普胸手术量在2000例以上科室负责人韩威力主任对于早期肺部肿瘤的肺段切除,局部晚期肺部肿瘤,气管,隆突等手术均有相当丰富的治疗经验。
相关新闻
- 铝单板厂家联系电话号码高效便捷种类齐全(红米多少个系列) 2023-05-03
- 南昌铝单板厂家电话按照客户要求定制(realme 真我gt neo 5g怎么样) 2023-05-03
- 木纹铝单板厂家直销专业售后品质保证(红米快充多少钱一个) 2023-05-03
- 铝单板厂家排名及价格全国发货及时供应(redmi k60pro) 2023-05-03
- 铝单板厂家哪家好全国发货及时供应(红米note128g多少钱) 2023-05-03
- 铝单板厂家联系电话号码高效便捷种类齐全(红米多少个系列) 2023-05-03
- 承德铝单板厂家佛是金装人是衣装(波兰吞并切欣) 2023-05-02
- 张家口铝单板厂家哪家好塞翁失马焉知非福(英国老师几点上班) 2023-05-02
- 保定铝单板批发厂家养兵千日用兵一时(西安有几家世界500强企业) 2023-05-02
- 石家庄铝单板批发厂家一言既出驷马难追(中国在2030年的五大超级都市圈) 2023-05-02


 
  
  
  
  
  
  
  
  
  客服
 客服